身高停长的真正原因?为何要定期给孩子做骨龄检测?
“打小,新时代的爸妈就教导我,长大后要做一个幸福的人!对!做一个幸福的宝宝,比 “做学霸,考状元,当大人物” 更重要!宝宝一直践行着父辈的理念,吃香、睡好,让体魄健康,让力量“飞扬跋扈”!
只是某个时刻,我发现……我的个头不再长了,那时宝宝的内心是崩溃的!
粑粑和麻麻带着我去医院做了个骨龄检测,得到检查结果的时候……真是天昏地暗……我的身高竟然停长了!感觉自己再也不是个幸福的宝宝了……”

父母带孩子去测骨龄,十有八九是发觉宝宝的身高停长了,因为感觉不对劲所以才去的,但是做父母的并没有好好的了解这是为什么,钱倒是小事,拍X光片也就百来块钱,但是被检测结果泼一盆冷水,心里肯定拔凉拔凉的。不过最近天气的确是变冷了,一阵冷风吹来……小个头的宝宝突然身子冷一哆嗦...
实在是想知道自己骨骼闭合程度的小伙伴们,一定要了解骨龄的前因后果。

为何孩子身高停长的真正原因?
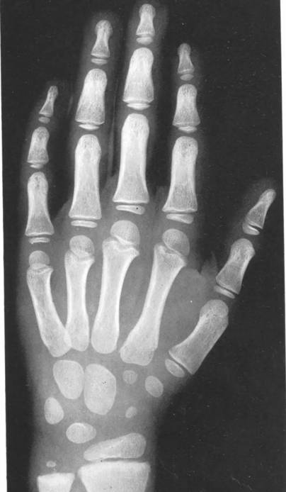
首先,生长发育可用两个“年龄”来表示,即生活年龄(日历年龄)和生物年龄(骨龄)。骨龄是骨骼年龄的简称,借助于骨骼在X光摄像中的特定图像来确定。在了解人的骨龄情况时,通常要拍摄人体手腕部的X光片,在这里要选择弱手,也即左手,如遇左撇子则相反。医生通过X光片观察左手掌指骨、腕骨及桡尺骨下端的骨化中心的发育程度,来确定骨龄。

正常情况下,骨龄与年龄基本相符,相差不超过1岁。
骨龄大于年龄1岁但不超出2岁为偏早;
骨龄小于年龄1岁以上但不超过2岁为偏晚。

下面给大家看看从出生到成人时骨龄变化时得X光片,拿一个男孩的左手拍摄的X光片为例,就可以看出整体的骨龄变化。
新生儿左手的X光片↓,这时腕骨,掌骨,和指骨的骨垢线是一生中最长的时候。
一岁时,手掌的两个骨化中心长得像模像样,掌骨也有头有尾,0-1岁就是一生中生长最快的一年。
四岁的时候,月骨已经接近成熟,指间骨盘都出现在相应部位。手腕处的骨细胞也逐渐显露。
6岁,尺骨骨化中心出现,小多角骨以及舟骨在5.5岁后出现。一些比同龄孩子个子低的孩子开始注意到自己的矮小。
8岁腕骨骨化中心进一步靠拢。
10岁舟骨有了弧度,手指骨垢线越来越短。
11岁,拇指近端指骺超越干骺,腕骨骨化更加接近融合。这个时候有些早熟的女生已经开始进入青春期。
13岁,籽骨出现,手指骨近端指骺发力连接,这个时候男生一般都进入了青春期。
15岁,远端指骨融合。骨龄逐渐成熟,青春期进入后期。
16岁,掌骨干骺和掌骨骨骺线融合。性特征发育步入成熟。
18岁,成人礼,青春期结束,骨骼处于闭合阶段。
在发育期身高比大部分同龄人高或者矮很可能就是骨龄提前或者落后了。

骨龄落后的原因: 比如长期的营养不良、慢性的疾病、青春发育延迟、生长激素、甲状腺激素的缺乏等都可能导致骨龄落后。
也就是说,如果有上述这些问题存在的情况下,用骨龄来作为预测身高的唯一指标是不科学的。儿科内分泌医生通过骨龄可以看出一个孩子的一些潜在的问题,当然也要结合其他的检查才能作出明确的诊断,从而给出精准的治疗。
骨龄提前的原因: 一般都是性早熟,营养过剩,反季水果,环境污染,不合格食品,心理健康等,也可能患有肾上腺皮质增生或是肾上腺肿瘤,也可以见于体内生长激素存在异常,也就是说,如果有上述这些问题存在的情况下,用骨龄来作为预测身高的唯一指标是不科学的。内分泌医生通过骨龄可以看出一个孩子的一些潜在的问题,当然也要结合其他的检查才能作出明确的诊断,从而给出精准的治疗。

为何要定期给孩子做骨龄检测?
做骨龄测试和预测最终身高虽说是监测未成年人生长发育的理想方法。但是每个个子矮的人,长得矮的原因一般都是遗传,性早熟、长期的营养不良、慢性的疾病、青春发育延迟、生长激素、甲状腺激素的缺乏等原因造成,只有改善这些原因才能够走向正常身高。而通过骨龄检测只能看出你身高自然生长的潜力是多少,如果你以前一直在长高,而最近一直没有长高,而且年龄也过了16岁,那么你的原因很可能就是你的骨骼开始闭合了。
针对骨骼闭合的的人群,不要寄望于自己处于晚长阶段,现在的人都比20世纪及以前的人发育早,不管你处在什么年龄,想长高就要抓紧现在!错过了最佳的增高年龄和机会,就是一辈子!
相关推荐
-
-
莫让“花朵迟不开”,关注儿童生长发育迟缓!
儿童的身高增长有一定的时机,即骨骺闭合之前。女孩骨龄11.5岁、男孩骨龄12岁以前,生长潜力较大,若骨龄大于以上数值,孩子生长潜力明显减小。如果忽视早期治疗,等到骨龄偏大、甚至骨骺闭合医生也再无回天之力,造成终生遗憾。
-
-
如何帮助孩子科学长高?骨龄检测真的很有必要!
笔者近日采访了安徽省省立儿童医院骨龄检测机构的专家,专家反映,暑假期间,正是家长带孩子到医院检测骨龄的高峰期。小编甚是欣慰的是已经有不少家积累了骨龄对于身高预测重要性的经验。这个暑假跟着爱高高一起探寻身高的奥秘,让孩子长高有治可医吧!
-
-
从骨的生长发育论骨龄检测的重要性!
测量骨龄的意义在于,准确的骨龄评估能较客观地反映个体的生长发育水平和成熟程度,因此,不仅可以确定儿童的生物学年龄,而且还可以通过骨龄及早了解儿童的生长发育潜力以及性成熟的趋势。通过骨龄还可预测儿童的成年身高,通过分析知道孩子问题出在哪?






